yaroslavkuzan-dentalpro.ru
  • Главная
  • Портфолио
    • Керамические реставрации (виниры, коронки, вкладки)
    • Имплантация (All on 4/ All on 6/ одиночный имплантат)

Каждый клинический случай уникален. Имеются противопоказания. Требуется консультация специалиста.

Сайт от wfolio
Имплантат + Коронка
Имплантат + Коронка
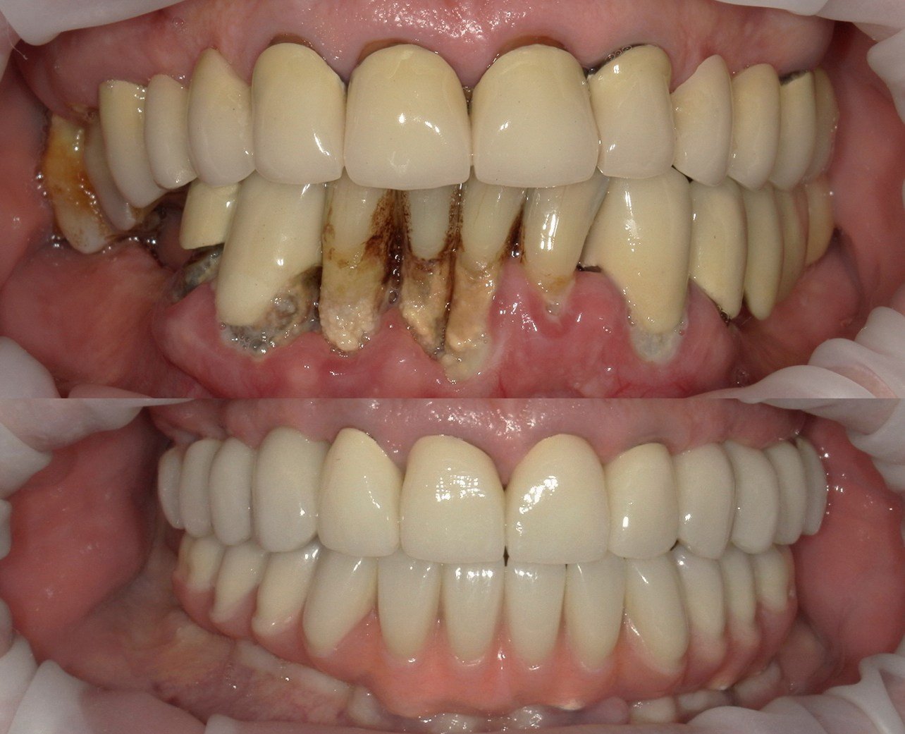
Устранение осложнений связаных с неудачной имплантацией в сторонней клинике. Этап временных конструкций с немедленной нагрузкой на имплантатах "All on 6".               "Все в один этап"
Устранение осложнений связаных с неудачной имплантацией в сторонней клинике. Этап временных конструкций с немедленной нагрузкой на имплантатах "All on 6". "Все в один этап"
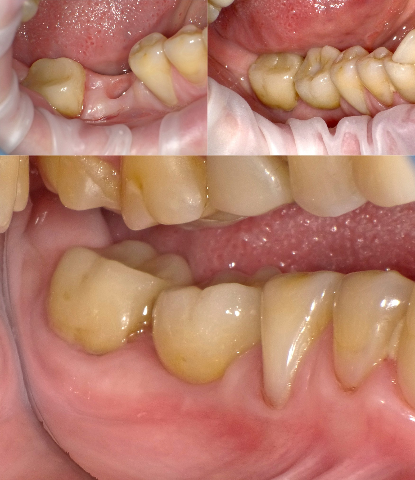
Удаление зуба( травма), установка имплантата и временная коронка на 4 месяца в день операции.
Удаление зуба( травма), установка имплантата и временная коронка на 4 месяца в день операции.
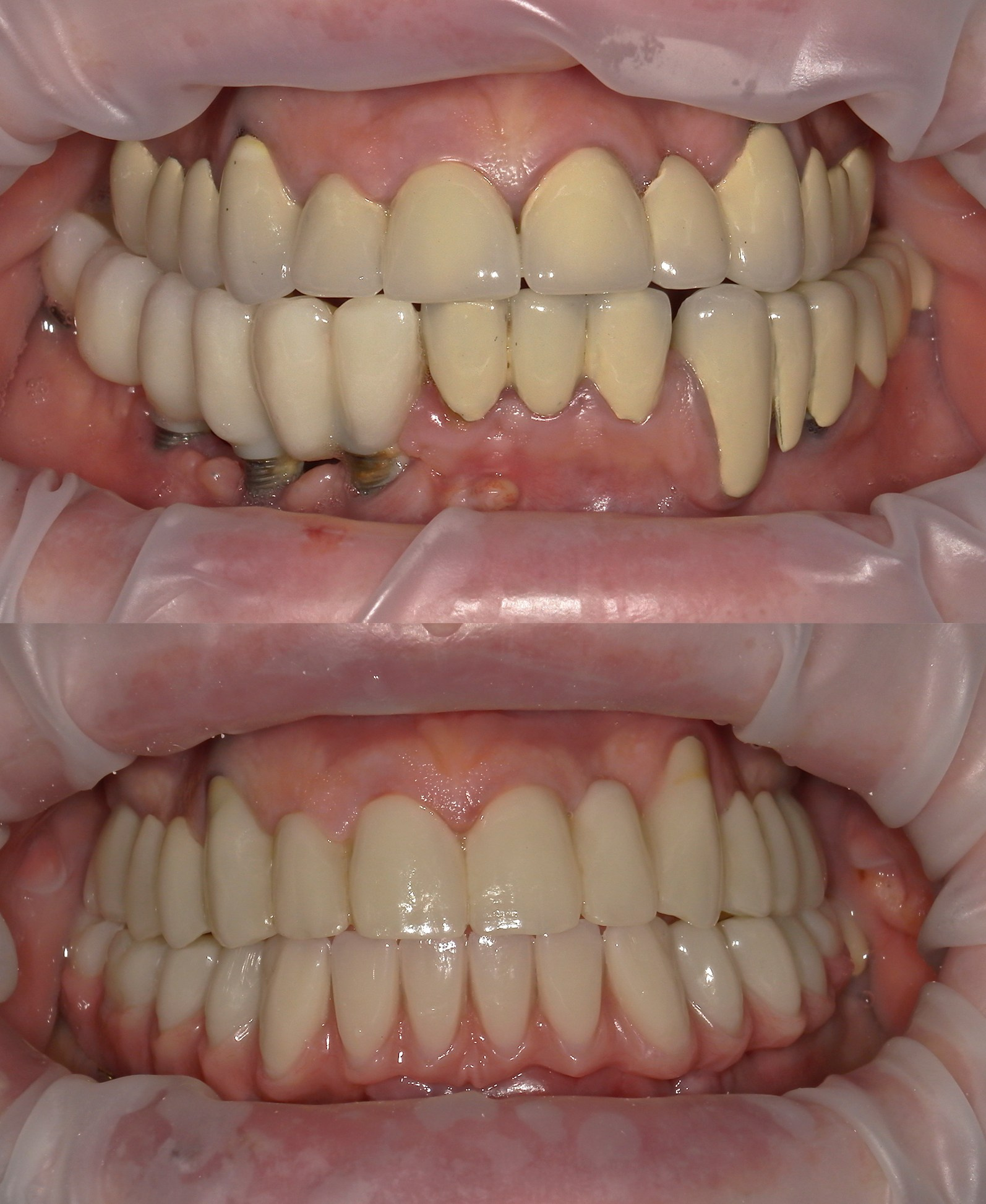
Верхняя челюсть - импланты, временное протезирование на зубах и имплантатах с немедленной нагрузкой.                                                                                                          Нижняя челюсть - "All on 6" с немедленной нагрузкой. Этап временных конструкций. "Все в один этап"
Верхняя челюсть - импланты, временное протезирование на зубах и имплантатах с немедленной нагрузкой. Нижняя челюсть - "All on 6" с немедленной нагрузкой. Этап временных конструкций. "Все в один этап"
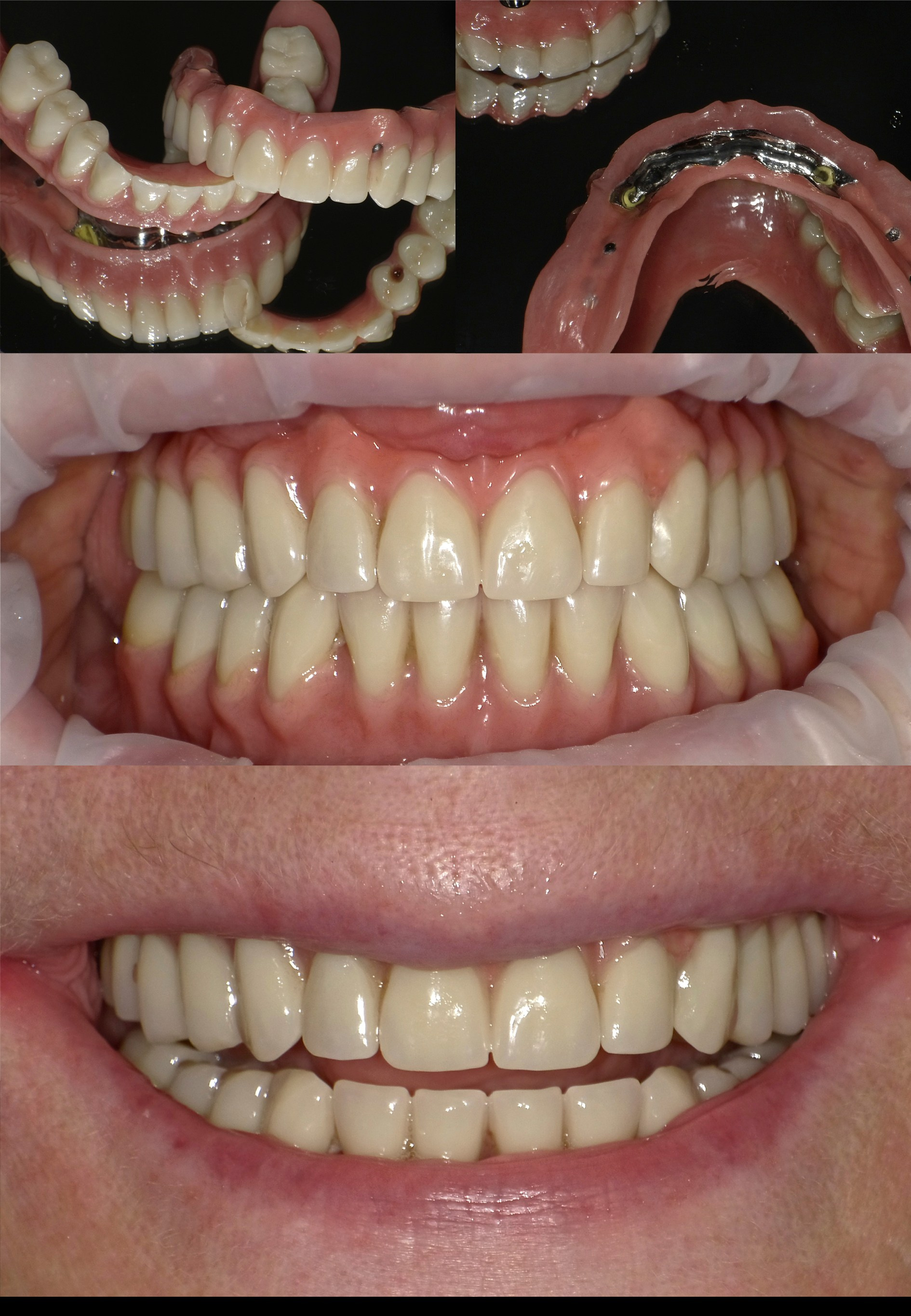
"All on 4" - верхняя челюсть.                                                                                                                   Балочная система фиксации протеза на имплантах - нижняя челюсть.
"All on 4" - верхняя челюсть. Балочная система фиксации протеза на имплантах - нижняя челюсть.

Портфолио

Керамические реставрации (виниры, коронки, вкладки)
Керамические реставрации (виниры, коронки, вкладки)